डॉक्टर मार्टिन फोल्कर की वेबसाइट

हम इलाज करते हैं आर्थ्राइटिस, ऑस्टियोआर्थ्राइटिस, पीठ में दर्द बिना सर्जरी के!

क्यों लाखों लोग आज भी पीड़ित हैं, जबकि समाधान पहले ही मौजूद है?

Doctor Avatar

नमस्कार, मैं डॉक्टर मार्टिन फोल्कर, बर्लिन में रूमेटोलॉजी और जोड़ों की पुनर्स्थापना केंद्र का प्रमुख हूं। जोड़ों के इलाज का मेरा 25 से अधिक वर्षों का अनुभव है। मैं आज आपके साथ भारत में जोड़ों की बीमारियों के इलाज के बारे में कुछ चौंकाने वाली जानकारी साझा करना चाहता हूं।

आप जानते हैं, मुझे भारत से बहुत प्यार है। मेरी दादी भारत से हैं और उन्होंने मुझमें इस देश की संस्कृति के प्रति प्रेम पैदा किया। मैं बचपन में अक्सर यहाँ आता था और आज भी आता हूँ। लेकिन यहाँ एक कमी है, जिसे मैंने एक विशेषज्ञ के रूप में महसूस किया है।

– भारत में जोड़ों के पुनर्निर्माण के एक सरल, लेकिन प्रभावी तरीके के बारे में जानकारी छिपाई जाती है। यहाँ के डॉक्टर आज भी आर्थ्राइटिस और ऑस्टियोआर्थ्राइटिस का इलाज पुराने तरीकों से करते हैं, जो केवल लक्षणों को अस्थायी रूप से दबाते हैं, लेकिन समस्या की जड़ को खत्म नहीं करते।

मैं हाल ही में भारत में स्थानीय उपचार पद्धतियों का अध्ययन करने के लिए फिर से आया था, और यह देखकर हैरान रह गया कि यहाँ जोड़ों की समस्याओं के प्रति दृष्टिकोण क्या है। कई डॉक्टर ऐसी दवाइयां देते हैं जो केवल दर्द को छिपाती हैं, लेकिन कार्टिलेज़ को फिर से ठीक नहीं करतीं।

रोगी सालों तक दर्द निवारक दवाइयाँ लेते रहते हैं: डोलगिट, वोल्टारेन, डिक्लोफेनेक, टेराफ्लेक्स, नुरोफेन, लेकिन उनकी हालत केवल और बिगड़ती जाती है। यूरोप में तो यह तरीके 20 साल पहले ही अप्रभावी माने गए थे।


हम पहले ही एक नए दृष्टिकोण पर काम कर रहे हैं, जो न केवल दर्द को कम करता है, बल्कि जोड़ों को फिर से ठीक करता है।

मैं आपके साथ अपने भारतीय मरीज राजेश की कहानी साझा करना चाहता हूं, जो 55 वर्ष के हैं और जो वर्षों तक आर्थ्राइटिस से जूझते रहे हैं। यह कहानी आपको चौंका देगी। 2017 से राजेश को घुटनों और पीठ में तेज दर्द महसूस हो रहा था। डॉक्टरों ने उन्हें मलहम, गोलियाँ दीं और यहां तक कि सर्जरी की सिफारिश भी की, लेकिन कुछ भी मदद नहीं किया। राजेश कहते हैं:

«50 साल के बाद, मैंने महसूस किया कि हर सुबह घुटनों और पीठ में दर्द के साथ शुरू होती है। मैं लॉजिस्टिक्स के क्षेत्र में काम करता हूं, जहाँ शारीरिक श्रम हिस्सा है। पहले मैंने इसे ज्यादा महत्व नहीं दिया, सोचा कि यह बस थकान होगी। लेकिन समय के साथ दर्द असहनीय हो गया। एक दिन काम पर मुझे एक सहकर्मी को बॉक्स उठाने में मदद करनी पड़ी। मैं झुका, और अचानक घुटने में तीव्र दर्द हुआ। मैं गिरकर फर्श पर गिर पड़ा और हिल भी नहीं पा रहा था। मुझे अस्पताल ले जाया गया, जहाँ डॉक्टर ने कहा कि मुझे अब और भारी सामान नहीं उठाना चाहिए और मेरे जोड़ों की स्थिति गंभीर है।

"आपको ऑपरेशन की जरूरत है, नहीं तो आप विकलांग हो सकते हैं," डॉक्टर ने भारत में कहा। लेकिन मैंने अपने दोस्त के बारे में याद किया, जिसने ऑपरेशन करवाने का फैसला किया था। ऑपरेशन के एक महीने बाद, उसके दर्द फिर से वापस आ गए, और छह महीने बाद वह जटिलताओं के कारण मर गया। मैं उसकी किस्मत को दोहराना नहीं चाहता था।" मुझे बहुत सौभाग्य था कि मेरे भाई ने मुझे डॉक्टर फोल्कर से मिलने की सलाह दी। जब डॉक्टर फिर से भारत आए, तो मैंने तुरंत उनके पास अपॉइंटमेंट लिया। उन्होंने मेरी जिंदगी कैसे बचाई, यह शब्दों से बयां नहीं किया जा सकता।

राजेश अकेले नहीं हैं, जो इस समस्या से जूझ रहे हैं। भारत में लाखों लोग इस पीड़ा से गुजर रहे हैं, यह जाने बिना कि इसका समाधान पहले से ही मौजूद है।

जब मैंने भारतीय चिकित्सा आंकड़ों को देखा, तो मुझे सच में डर लगा। क्या आप जानते हैं कि भारत में विकलांगता का मुख्य कारण क्या है? यह कैंसर, एड्स या मधुमेह नहीं है, यह ऑस्टियोआर्थ्राइटिस है!

जर्मनी में, ऑस्टियोआर्थ्राइटिस को चार से छह सप्ताह में बिना महंगी दवाओं के इलाज किया जा सकता है, जबकि भारत में यह मरीज को विकलांग बना देता है!

तो फिर क्या करें, जब डॉक्टर केवल ऑपरेशन की सलाह दें और आप जानते हैं कि यह कोई हल नहीं है? जोड़ों के दर्द से बिना जीवन को खतरे में डाले कैसे छुटकारा पाएँ?

मैं, डॉक्टर मार्टिन फोल्कर, जोड़ों की पुनर्स्थापना में वर्षों के अनुभव के साथ एक रूमेटोलॉजिस्ट, आपके साथ एक कहानी साझा करना चाहता हूं।

राजेश, जैसे लाखों अन्य लोग, वर्षों तक लगातार दर्द से जूझते रहे, और डॉक्टर केवल उनके लक्षणों को शांत कर रहे थे, जैसे डिक्लोफेनेक। ये दर्द निवारक दवाएं केवल दर्द और सूजन को कम करती थीं, लेकिन बीमारी के असली कारण को दूर नहीं करतीं।

लेकिन यह समाधान नहीं है! जब जोड़ों का दर्द पुराना हो जाता है, तो यह इस बात का संकेत है कि जोड़ों का धीरे-धीरे नुकसान हो रहा है। दर्द इसका परिणाम है कि जोड़ों का सही तरीके से काम करना बंद हो गया है, और जो हम "दर्द निवारण" के रूप में देखते हैं, वह सिर्फ स्थिति को और खराब करता है।

दर्द के कारण को दूर किए बिना इलाज करना, जैसा कि कई डॉक्टर करते हैं, दरअसल जोड़ों के नुकसान की प्रक्रिया को तेज करता है।

इन सभी दवाओं का, चाहे वे दर्द को कितना भी कम करें, जोड़ो का इलाज नहीं होता। ये केवल लक्षणों को छिपाती हैं, लेकिन समस्या को हल नहीं करतीं, जो कि ओस्टियोफाइट्स के संचय में हैकैल्सीफाइड नमक, जो जोड़ो, उपास्थि और उनके आसपास के ऊतकों को नुकसान पहुंचाते हैं

ओस्टियोफाइट्स नमक के क्रिस्टल होते हैं, जो रेत जैसे कागज की तरह जोड़ो को घिसते हैं, जिससे तीव्र दर्द, सूजन और सूजन होती है।

अगर लक्षणों को दबाया जाता रहता है, तो ये नमक के क्रिस्टल जमा होते रहते हैं, जिससे जोड़ का विनाश होता है और वह पूरी तरह से निष्क्रिय हो सकता है

प्रभावी उपचार की कमी में, ऑस्टियोआर्थ्राइटिस विकलांगता का कारण बन सकता है, और दर्द केवल बढ़ता जाएगा।

इसके साथ ही यह मिथक कि कैल्शियम जोड़ो के लिए फायदेमंद है, भी खतरनाक है: असल में, कैल्शियम ओस्टियोफाइट्स के निर्माण को बढ़ावा देता है, जो स्थिति को और खराब करता है।

यह वही हुआ जब राजेश मेरे पास आया। उसके जोड़ बहुत खराब हालत में थे। और अगर वह मुझसे
एक हफ्ते बाद मिलता, तो परिणाम भयावह होते।

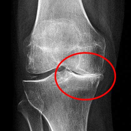
राजेश के जोड़ो की तस्वीरें देखें, जब मैंने उसे उपचार देने से पहले देखा था:

📌यहां स्पष्ट रूप से देखा जा सकता है कि नमक ने गलत उपचार के कारण जोड़ को पूरी तरह से नष्ट कर दिया।

यहां स्पष्ट रूप से देखा जा सकता है कि नमक ने गलत उपचार के कारण जोड़ को पूरी तरह से नष्ट कर दिया। कुछ ही समय में, बड़े टुकड़े ओर्थोसोले को आसानी से हड्डी का बड़ा हिस्सा तोड़ सकते थे, जिससे राजेश को जोड़ के पूरी तरह से खराब होने और स्थायी विकलांगता का सामना करना पड़ता।

⚠️ ओस्टियोआर्थ्राइटिस के प्रमुख लक्षण:

यहां कुछ ओस्टियोआर्थ्राइटिस के लक्षण हैं, जो राजेश ने महसूस किए थे। आपको इनके बारे में जानना चाहिए, चाहे आपकी उम्र सिर्फ 40 वर्ष हो:

  • 🔹 जोड़ो में गति करते समय दर्द महसूस होता है, लेकिन दर्द तब कम हो जाता है जब जोड़ नहीं हिलता।
  • 🔹 जोड़ खासतौर पर सुबह के समय जकड़े हुए लगते हैं।
  • 🔹 प्रभावित जोड़ के आस-पास मांसपेशियों का कमजोर होना।
  • 🔹 जोड़ के गति करते समय घर्षण की आवाज आना।
  • 🔹 जोड़ो के आस-पास सूजन, जैसे उंगलियां, घुटने, कोहनी आदि।

जब मैंने राजेश के जोड़ो की पूरी स्थिति देखी, तो मुझे समझ में नहीं आया कि भारत के डॉक्टरों ने उसे इस हालत में क्यों पहुंचाया?

यह अजीब लग सकता है, लेकिन जोड़ो में बड़ी मात्रा में पुनर्जनन क्षमता होती है और वे खुद को ठीक कर सकते हैं, जैसे एक गिरगिट की पूंछ खुद को फिर से उगाती है।

उन्हें केवल ऑर्थोसोले के संचय को हटाने में थोड़ी मदद की जरूरत होती है, और बाकी प्रक्रिया वे खुद शुरू कर सकते हैं!

🔬 वैज्ञानिक अनुसंधान

90 के दशक में स्विस वैज्ञानिकों ने एक विशेष प्रकार के क्वासीविटामिन बी को विकसित करने में सफलता प्राप्त की। इसे अल्फा-आर्थेरोफाइरोल के रूप में भी जाना जाता है। इसे प्राकृतिक अवयवों से संश्लेषित किया गया है, जैसे कि मुरब्बा, कपूर, काले जीरे का तेल, एलोवेरा, मछली का कोलेजन और 50 से अधिक अन्य अर्क।

यह पदार्थ भी ऑर्थोसोले के अणुओं में प्रवेश करने और उन्हें अंदर से विभाजित करने की क्षमता रखता है, इस प्रकार जोड़ की सतह को साफ करता है और रक्त प्रवाह और सायनोवियल द्रव को सामान्य रूप से बहने में मदद करता है।

इसका प्रभाव स्थायी होता है! या, अधिक सही ढंग से कहें तो यह तब तक रहता है जब तक नमक फिर से कठोर नहीं हो जाता (लेकिन इसके लिए दशकों का समय लग सकता है)।

इसके साथ आपको लगातार दवाएं लेने की जरूरत नहीं होगी ताकि दर्द और सूजन को कम किया जा सके। अब आपको इस बात की चिंता नहीं करनी होगी कि आपके जोड़ हमेशा के लिए निष्क्रिय हो सकते हैं और आप विकलांग हो सकते हैं। लोग दशकों तक पूरी तरह से स्वस्थ रहते हैं।

अपने जोड़ो को ठीक करने में कैसे मदद करें मैं एक अनूठे दृष्टिकोण का उपयोग करता हूं, जो न तो दर्द को दबाने पर केंद्रित होता है, बल्कि जोड़ो को फिर से ठीक करने और उनके नष्ट होने के कारणों को समाप्त करने पर है। जर्मनी में हम पहले से ही उन तरीकों का उपयोग कर रहे हैं जो जोड़ो में रक्त संचार को बहाल करते हैं और जमा हुए नमकों को समाप्त करते हैं। यह न केवल दर्द को कम करने में मदद करता है, बल्कि जोड़ के पुनर्निर्माण की प्रक्रिया को भी शुरू करता है।

मेरे उपचार के बाद, राजेश ने कुछ सप्ताहों में महत्वपूर्ण सुधार महसूस किया। उसके जोड़ बिना दर्द के हिलने लगे और वह पहले जैसा विकलांग नहीं महसूस कर रहा था

Biotrin एक ऐसा पदार्थ है जो अपनी प्रभावशीलता साबित कर चुका है और जिसे मैंने राजेश को सिफारिश की थी। इस पदार्थ में कई प्राकृतिक तत्वों का एक संपूर्ण परिसर है, जो न केवल लक्षणों को कम करने में मदद करते हैं, बल्कि जोड़ो के सामान्य कार्य को फिर से बहाल करते हैं। Biotrin में क्वीविटामिन बी शामिल है, जो जोड़ो की स्थिति को सुधारने और दर्द से छुटकारा पाने में सक्रिय रूप से काम करता है।

Biotrin न केवल लक्षणों पर काम करता है, बल्कि दर्द के मूल कारण पर भी कार्य करता है।

यह जोड़ो को नमक के संचय से साफ करने में मदद करता है, रक्त प्रवाह को सुधारता है, उपास्थि की लचीलापन को बहाल करता है और जोड़ो में चयापचय को सामान्य करता है।

इससे न केवल दर्द से छुटकारा मिलता है, बल्कि जोड़ो की गतिशीलता को कई वर्षों तक बनाए रखने में मदद मिलती है।

सिर्फ चार से छह सप्ताह का Biotrin का कोर्स जोड़ो को सामान्य स्थिति में वापस लाने और दर्द को समाप्त करने में मदद करेगा।

यह पूरी तरह से सुरक्षित है और इसे घर पर किया जा सकता है, बिना किसी जटिल प्रक्रिया या ऑपरेशन के।

⚠️ ऑपरेशन और दर्द निवारक दवाएं समाधान नहीं हैं!

अब समय आ गया है कि आप अपने जोड़ो का इलाज करें, न कि उनके लक्षणों का। मैं आपकी मदद करने के लिए तैयार हूं, ताकि आप दर्द से छुटकारा पा सकें और फिर से जोड़ो की गतिशीलता को प्राप्त कर सकें, ताकि आप फिर से सक्रिय जीवन जी सकें, बिना विकलांगता के डर के।

जोड़ों की समस्याएं, जैसे दर्द, सूजन, चरचड़ाहट, गति की सीमा, यदि समय पर हस्तक्षेप न किया जाए तो गंभीर परिणामों का कारण बन सकती हैं।

अपने जोड़ो की बीमारी को अपनी ज़िन्दगी को नष्ट करने का मौका न दें।

Biotrin चुनें - एक दवा जो न केवल दर्द से लड़ने में मदद करती है, बल्कि आपके जोड़ो के स्वास्थ्य को बहाल करने में मदद करती है, आपकी गतिशीलता को वापस लाती है और सक्रिय जीवन जीने का मौका देती है।

मुझे सबसे अधिक यह हैरान कर दिया कि यह दवा जोड़ों की सबसे खराब स्थितियों में भी कैसे काम करती है।

राजेश इसका सर्वोत्तम उदाहरण हैं। घुटनों और कोहनी में दर्द उनके स्थायी साथी बन गए थे।

हर कदम उन्हें कठिनाई से उठाना पड़ता था, और सीढ़ियां चढ़ते समय दर्द असहनीय हो जाता था।

साधारण काम, जैसे सोफे से उठना या लंबी सैर करना, एक असली परीक्षा बन गया था।

फिर मैंने राजेश को Biotrin निर्धारित किया, और उसने जोड़ो की सफाई का कोर्स शुरू किया।

कुछ सप्ताह बाद, उसे सुधार महसूस होने लगा। दर्द कम होने लगा, और जोड़ अधिक गतिशील हो गए।

धीरे-धीरे, कदम दर कदम, वह सामान्य जीवन में वापस लौटने में सक्षम हुआ।

अब वह सीढ़ियां चढ़ने या पार्क में चलने से नहीं डरता था, और थकावट और दर्द का अहसास समाप्त हो गया।

बस इन परिणामों को देखिए, इससे पहले और बाद में।

⚠️ यह चमत्कार नहीं है, बल्कि सही उपचार है। अगर भारत के हर व्यक्ति को इसके बारे में पता होता, तो बीमार जोड़ो वाले लोग नहीं होते!

🏥 इलाज से पहले:

  • 🔹 घुटनों और कोहनी में लगातार दर्द, विशेषकर चलते समय।
  • 🔹 शारीरिक गतिविधि में कठिनाई - चलना और सीढ़ियां चढ़ना समस्या बन गई थी।
  • 🔹 बुढ़ापे और असहायता का अहसास, रोज़मर्रा के कामों में सीमित होना।

✅ Biotrin उपचार के बाद:

  • 🔹 जोड़ो के दर्द का लगभग पूरी तरह से गायब होना।
  • 🔹 गतिशीलता में सुधार - साधारण कामों, जैसे सैर और शारीरिक गतिविधि, से खुशी।
  • 🔹 आत्मविश्वास में वृद्धि और नए दर्द से डर के बिना सामान्य जीवन में लौटना।

📌 राजेश के हाथों की स्थिति, इलाज से पहले और बाद में

क्या आपको समझ में आया कि क्या महत्वपूर्ण है? राजेश ने असली चमत्कार अनुभव किया।

जोड़ों की समस्याएं, जो अपरिहार्य और असाध्य लग रही थीं, प्राकृतिक तरीके से जोड़ों की सफाई के कारण गायब हो गईं।

Biotrin की वजह से, उसने दर्द और डर के बिना सक्रिय और पूर्ण जीवन को फिर से प्राप्त किया।

साथ ही – उसने ऐसा शरीर पाया जो 20 साल की उम्र जैसा काम करता है। अब वह खुद को दशकों जवान महसूस करने लगा!

⚠️ दर्द को अपनी ज़िन्दगी पर नियंत्रण करने का मौका न दें।

Biotrin के कुछ सप्ताहों के उपयोग के बाद जो बदलाव हो सकते हैं, उसे महसूस करें।

यह वह मौका है जिसे आप खो नहीं सकते, अपनी पुरानी ज़िन्दगी को बिना दर्द और सीमाओं के वापस पाने के लिए।

इलाज शुरू करने का सबसे अच्छा समय कब है?

वैज्ञानिक रूप से साबित हुआ है: शोधों ने यह दिखाया है कि जोड़ों का इलाज करने के लिए सबसे अच्छा समय वसंत और मार्च का महीना है!

शोधों ने यह साबित किया है कि Biotrin न केवल अस्थायी राहत प्रदान करता है, बल्कि यह एक वास्तविक समाधान है जो कोशिकीय स्तर पर काम करता है, जोड़ों को पुनः बहाल करता है। यदि मार्च में इलाज शुरू किया जाए, तो आगे के क्षरण को जल्दी रोका जा सकता है और जोड़ो की गतिशीलता को फिर से बहाल किया जा सकता है।

Biotrin आपके जोड़ो के लिए सबसे अच्छा क्यों है?

प्रोफेसर सुरापोंग सुर्चारोएन, जो वैज्ञानिक शोध के लेखक में से एक हैं और जिन्होंने Biotrin के नैदानिक परीक्षण किए, उन्होंने पुष्टि की:

"हमने 400 रोगियों के साथ एक अध्ययन किया, जिन्होंने 60 दिनों तक Biotrin लिया, और परिणाम अद्भुत थे! सिर्फ एक हफ्ते में 68% रोगियों ने अपने जोड़ो की स्थिति में महत्वपूर्ण सुधार देखा। तीन हफ्ते बाद 97% प्रतिभागियों ने महत्वपूर्ण सुधार महसूस किया। एक महीने बाद, नैदानिक शोधों के बाद, दर्द लगभग पूरी तरह से गायब हो गए थे और जोड़ो की गतिशीलता पुनः स्थापित हो गई थी। हमने यह भी देखा कि सायनोवियल द्रव की मात्रा में वृद्धि हुई, जिससे जोड़ो का सामान्य कार्य फिर से सुनिश्चित हुआ।"

Biotrin इतना प्रभावी क्यों है?

  • 🔹 प्राकृतिक सफाई: Biotrin केवल दर्द को कम नहीं करता, यह अंदर से जोड़ो के स्वास्थ्य को बहाल करता है।
  • 🔹 संपूर्ण प्रभाव: यह दवा टूटे हुए ऊतकों पर काम करती है और उन्हें कोशिकीय स्तर पर पुनः स्थापित करती है।
  • 🔹 दीर्घकालिक परिणाम: कुछ सप्ताहों के भीतर आप सुधार महसूस करना शुरू कर देंगे, जो कई वर्षों तक बना रहेगा।

⚠️ इसे टालें नहीं! जितना जल्दी आप इलाज शुरू करेंगे, उतनी जल्दी आपको राहत मिलेगी। अभी अपने जोड़ो का ख्याल रखें और हमेशा के लिए दर्द को भूल जाएं।

मेरी सलाह उन भारतीय नागरिकों को जो जोड़ो के दर्द से पीड़ित हैं:

साधारण लोग, विशेषकर वे जो 50 वर्ष के ऊपर हैं, पुराने भारतीय इलाज के पहले शिकार बन जाते हैं। लेकिन यह उनकी गलती नहीं है, क्योंकि पूरा सिस्टम ऐसा है।

Biotrin - मूल पैकिंग

लेकिन, सौभाग्य से, इसका समाधान है। हमारे अखबार ने भारत में जोड़ों के दर्द से पीड़ित सभी नागरिकों के लिए इस दवा के वितरण के लिए ऑर्थोपेडी और रुमेटोलॉजी विश्वविद्यालय और भारतीय डाक से एक समझौता किया है। विश्वविद्यालय के कर्मचारियों ने एक विशेष वितरण केंद्र तैयार किया है, जहां हम इस दवा की एक खेप भेज चुके हैं।

अब मुझे आपको बताने दें कि Biotrin प्राप्त करने के लिए आपको क्या करना होगा।

नीचे दिए गए निर्देशों का पालन करें:

⚠️ Biotrin की आपूर्ति केवल 2 महीनों के लिए की जा रही है। हजारों भारतीयों ने इस अवसर का लाभ उठाया है। हम सभी खरीदारों से अनुरोध करते हैं कि वे इस उत्पाद की प्रभावशीलता को 1 से 10 की स्केल पर रेट करें।

अब तक 3000 से अधिक लोगों ने इस सर्वेक्षण में भाग लिया है, और Biotrin की औसत रेटिंग 10 में से 9.97 रही है।

जैसा कि आप देख सकते हैं, आज हजारों भारतीय नागरिक Biotrin की मदद से फिर से चलने में सक्षम हो गए हैं, और आप भी उनमें से एक बन सकते हैं।

यह ऑफर कब तक उपलब्ध रहेगा?

⚠️ ध्यान दें! आप Biotrin को तब तक खरीद सकते हैं जब तक कि स्टॉक उपलब्ध है।

इस उत्पाद के लिए बहुत अधिक ऑर्डर आ रहे हैं क्योंकि लोग इसके बारे में अपने दोस्तों और परिवार के सदस्यों को बता रहे हैं। कई लोग इसे अपने प्रियजनों के लिए भी ऑर्डर कर रहे हैं। किसी ने भी नहीं सोचा था कि Biotrin के बारे में जानकारी इतनी तेजी से फैलेगी।

🎉 वर्तमान में, एक विशेष प्रमोशनल ऑफर चल रहा है, जिसके तहत सभी इच्छुक ग्राहक Biotrin को 50% तक की छूट के साथ खरीद सकते हैं।

इस वेबसाइट से ऑर्डर करने पर, आपको मूल उत्पाद मिलेगा, जिसने क्लीनिकल परीक्षण पास किया है और जो MFG LIC NO: QVA-KNES-24-037038 के तहत पंजीकृत है। आप निश्चिंत रह सकते हैं कि यह उत्पाद उच्चतम गुणवत्ता का है।

Biotrin की विस्तृत संरचना:

घटक लाभ
इवा चतुर्सेमी यह उपास्थि ऊतक को मजबूत और टोन करता है, इसकी लोच और स्थायित्व को बढ़ाता है।
समुद्री हिरन चुभु (सी बकथॉर्न) यह छोटे केशिकाओं की पारगम्यता को सामान्य करता है।
काले जीरे का तेल यह जोड़ों में सूजन और संक्रमण को कम करता है और उनके टूटने की प्रक्रिया को धीमा करता है।
कपूर यह ऑर्थो-सॉल्ट जमाव को घोलता है, उन्हें नरम करता है और छोटे टुकड़ों में तोड़ता है, जिससे उनकी सफाई आसान हो जाती है।
मछली कोलेजन यह जोड़ों के स्वास्थ्य में सुधार करता है और शरीर में कोलेजन उत्पादन को उत्तेजित करने में मदद कर सकता है। यह हड्डियों और संयोजी ऊतकों को मजबूत करने में सहायक है।
एलोवेरा एलोवेरा न केवल त्वचा और बालों के लिए फायदेमंद होता है, बल्कि यह जोड़ों के दर्द पर भी सकारात्मक प्रभाव डालता है। इसमें 75 सक्रिय तत्व होते हैं, जिनमें विटामिन, एंजाइम, खनिज, शर्करा, फैटी एसिड, हार्मोन, एंथ्राक्विनोन और अमीनो एसिड शामिल हैं।

ध्यान दीजिए!

हमारी साइट पर आने वाले दर्शक Biotrin का ऑर्डर 50% तक छूट पर कर सकते हैं! इसके लिए «SPIN» बटन को दबाकर भाग्य चक्र को घुमाइए और उसके पूरी तरह से रुकने का इंतज़ार कीजिए। कौन जानता है शायद आप ही वह भाग्यशाली हों जो आज बड़ी बचत कर पाए! शुभकामनाएँ!

Biotrin को सबसे कम कीमत पर ऑर्डर करने के लिए, पोस्ट किए गए डिस्काउंट रील के नीचे "स्पिन" बटन पर क्लिक करें!

आपको जो छूट मिलती है उसके आधार पर, आप उसी छूट के साथ Biotrin™ ऑर्डर कर पाएंगे

आप ड्रम को केवल 1 बार घुमा सकते हैं

बधाई हो!

आपने अधिकतम छूट जीत ली है - 50%!

Biotrin आपके लिए आरक्षित है।

आपके पास अनुरोध छोड़ने के लिए 10 मिनट हैं।

Biotrin

1898₹ 949₹
50%

पदोन्नति समाप्त होगी: 00:00

(यदि आप निर्दिष्ट समय से पहले फॉर्म भरने में विफल रहते हैं,
तो आपकी बुकिंग किसी अन्य व्यक्ति को स्थानांतरित कर दी जाएगी क्योंकि उत्पाद बहुत दुर्लभ है)

घोषणा - Biotrin हमारी पंजीकृत ब्रांड है लेकिन कुछ लोग ऑनलाइन वेबसाइट पर Biotrin के नाम से भी बिक्री कर रहे हैं, जिस पर कानूनी कार्रवाई की जाएगी। यदि आप वैसी दवाई लेते हैं, तो हम किसी भी साइड इफेक्ट या परिणाम न मिलने के लिए हम उत्तरदायी नहीं होंगे।

वास्तविक ग्राहकों की समीक्षाएं:

इब्राहिम, 52 वर्ष, मुंबई:

मेरे घुटनों में तेज़ दर्द था, जिसने मेरी सक्रिय जीवनशैली में बाधा डाली। Biotrin का उपयोग शुरू करने के बाद, सिर्फ दो हफ्तों में सुधार दिखने लगे। दर्द गायब हो गया, और जोड़ों की गतिशीलता बढ़ गई। अब मैं फिर से टहल सकता हूँ और अपने दैनिक कार्य कर सकता हूँ। इस अद्भुत उत्पाद के लिए बहुत धन्यवाद!

29

मडियार, 58 वर्ष, आगरा:

मेरे घुटने और पीठ गठिया से पीड़ित थे, और कोई भी उपाय असरदार नहीं था। मैंने कई दवाइयाँ आज़माईं, लेकिन केवल Biotrin ने असली परिणाम दिए। एक महीने के भीतर, मेरे जोड़ों की लचीलापन काफी बढ़ गई, और दर्द गायब हो गया। मैं इसे सभी को सुझाता हूँ जो जोड़ों के दर्द से पीड़ित हैं!

44

कुमार, 58 वर्ष, बेंगलुरु:

Biotrin ने मेरी ज़िंदगी बदल दी। पहले मैं ज्यादा देर तक चल नहीं सकता था, लेकिन अब मैं बिना किसी परेशानी के सभी घरेलू काम कर सकता हूँ। मेरे जोड़ों की ताकत बढ़ गई है और दर्द पूरी तरह से गायब हो गया है। यह जोड़ों के इलाज के लिए एक शानदार उपाय है!

37

अंजली, 50 वर्ष, चेन्नई:

शुरुआत में मैं Biotrin को लेकर संदेह में थी, लेकिन मैंने इसे आज़माने का फैसला किया। और मुझे कोई पछतावा नहीं हुआ! मेरे जोड़ों का दर्द गायब हो गया, और मैं पहले से बहुत बेहतर महसूस कर रही हूँ। यह उत्पाद वास्तव में प्रभावी है।

59

संगीता, 60 वर्ष, हैदराबाद:

Biotrin लेने के बाद सिर्फ 3 हफ्तों में सुधार दिखाई देने लगा। मेरे जोड़ों की गतिशीलता बढ़ गई, और घुटनों का दर्द चला गया। मैं खुद को पहले से बहुत छोटी महसूस कर रही हूँ। बस मेरी पहले और बाद की तस्वीरें देखिए! मुझे यकीन नहीं हो रहा कि यह चमत्कार मेरे साथ हुआ!

38

संजय, 54 वर्ष, मुंबई:

Biotrin का कुछ हफ्तों तक उपयोग करने के बाद मैंने देखा कि मेरे जोड़ों में सुधार होने लगा है। दर्द लगभग खत्म हो गया है, और मैं फिर से व्यायाम कर सकता हूँ। यह बुजुर्ग लोगों के लिए एक अद्भुत उपहार है!

51

दीपा, 49 वर्ष, दिल्ली:

मुझे कॉक्सअर्ट्रोस था, और मेरे जोड़ों को बहुत नुकसान हुआ था। Biotrin ने मेरे दर्द को कम करने और गतिशीलता को बेहतर बनाने में मदद की। अब मैं पहले से बेहतर महसूस कर रही हूँ और फिर से टहल सकती हूँ।

27

अलीशा, 57 वर्ष, जयपुर:

मेरी पीठ और कंधों का दर्द मुझे बहुत परेशान कर रहा था, लेकिन Biotrin ने मुझे राहत दी। इसे लेने के कुछ ही समय बाद दर्द कम हो गया, और जोड़ों की लचीलापन बढ़ गई। मैं बहुत आभारी हूँ!

50

रवि, 60 वर्ष, मुंबई:

मैंने पहले भी कई जोड़ों के दर्द के इलाज़ आज़माए हैं, लेकिन कोई भी दीर्घकालिक परिणाम नहीं दे सका। Biotrin कैसे काम करता है, और क्या यह पुरानी बीमारियों के लिए उपयोगी है?

🩺 डॉक्टर का उत्तर:

रवि, Biotrin एक ऐसा उत्पाद है जो जोड़ों के स्वास्थ्य को कोशिकीय स्तर पर पुनर्स्थापित करता है। यह केवल दर्द को कम नहीं करता, बल्कि ऊतकों की मरम्मत करता है, जोड़ों की गतिशीलता बढ़ाता है और सायनोवियल तरल पदार्थ के स्तर को बढ़ाता है। यह उत्पाद पुरानी बीमारियों के इलाज के लिए बहुत प्रभावी है क्योंकि यह केवल लक्षणों को नहीं, बल्कि समस्या के मूल कारण को ठीक करता है।

36

कुमार, 55 वर्ष, बेंगलुरु:

"मुझे हाल ही में ऑस्टियोआर्थराइटिस का निदान मिला है, और मैं घुटनों में दर्द महसूस करने लगा हूँ। क्या Biotrin मेरे मामले में सहायक होगा?"

🩺 डॉक्टर का उत्तर:

हाँ, कुमार, Biotrin विशेष रूप से ऑस्टियोआर्थराइटिस से संबंधित बीमारियों के इलाज के लिए डिज़ाइन किया गया है। यह जोड़ों के ऊतकों को पुनर्स्थापित करने, गतिशीलता को बेहतर बनाने और सूजन को कम करने में मदद करता है। आपके मामले में, Biotrin बहुत लाभकारी होगा क्योंकि यह न केवल दर्द को कम करता है, बल्कि जोड़ों के स्वास्थ्य को अंदर से सुधारता है।

41

शिवा, 48 वर्ष, पुणे:

मैं लगभग 10 वर्षों से जोड़ों के पुराने दर्द से जूझ रहा था। Biotrin सबसे बेहतरीन उत्पाद है जिसे मैंने आज़माया है। मेरे जोड़ों का दर्द कम हो गया है, और उनकी गतिशीलता बेहतर हुई है। मैं परिणाम से बहुत खुश हूँ!

50